
When dental decay compromises a tooth's structural integrity, a filling gets placed to rebuild its natural form and restore its strength and function.
Because tooth decay, also known as dental caries, remains one of the most prevalent chronic diseases affecting both children and adults worldwide, procedures to place fillings are routinely performed each and every day.
At the office of Magnolia Dental, we provide precise and gentle treatment and maintain a position at the forefront of advances in care to provide patients with the highest quality of aesthetically pleasing and durable dental fillings.
According to archaeological findings, for as long as dental problems have existed, there have been efforts to provide emergency and restorative care. In fact, attempts to place dental fillings have been found in the skeletal remains of people who lived around the year 8000 BC. However, it wasn't until thousands and thousands of years later, in the 19th century, that a variety of metal fillings, including dental amalgam, appeared on the scene. Although gold achieved status as a popular restorative material, it was soon apparent that amalgam fillings, consisting of a mixture of mercury and an alloy composed of silver, tin, and copper, offered a less expensive, durable, and simpler alternative.
Until recent decades, the vast majority of dental fillings remained silver-colored, amalgam restorations. However, as dentistry has evolved in the last 50 years, new filling materials have been developed. While amalgam fillings are long-lasting and durable, today's newer materials offer the benefits of being mercury-free, metal-free, and much more aesthetic. These "tooth-colored or white fillings" invisibly restore the form and function of the involved tooth, while seamlessly blending in with the remaining tooth structure and the entire smile.
At the office of Magnolia Dental, we tailor treatment to address specific dental needs and expectations of care. As with all the services our practice provides, we'll explain all your options in care, including the type of dental filling materials we offer to restore your tooth. Our goals are to gently remove the dental decay and the damaged tooth structure and then rebuild your tooth's form and function while providing you healthy, durable, long-lasting, and cosmetically pleasing results.

While traditional dental materials like gold and amalgam have been in use for over a century, recent advances in dental technology have made a more expansive and improved selection of restorative choices widely available. Beyond offering strength and durability, these new filling materials provide aesthetically pleasing and natural-looking results.
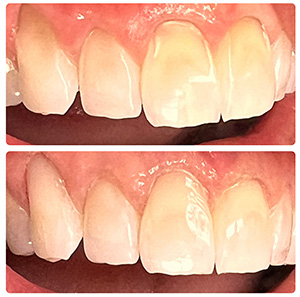
Composite fillings, which are frequently referred to as either "tooth-colored fillings" or "white fillings," consist of a combination of biocompatible resins and finely ground, glass-like filler materials that become strong and durable when set. Available in a complete range of natural-looking shades, composite fillings offer a cosmetically pleasing alternative to traditional "silver" fillings. Composite resins are also used in dental bonding procedures to improve a tooth's color or shape, mask defects, or close minor gaps between teeth.
Composite fillings adhere to natural tooth structure through a bonding process, which also serves to seal and strengthen the tooth. Beyond providing a close match to your natural tooth color, a composite filling does not require removing of as much tooth structure for placement, nor are they subject to expansion or contraction with temperature changes as is the case with dental amalgams. However, composite restorations can be more vulnerable to wear and staining and may require replacement down the road.
For many years, amalgam fillings represented the standard of care for restoring decayed teeth. While they don't offer the cosmetic appeal of other types of filling materials, amalgam restorations are strong, durable, and less likely than some other types of fillings to break or wear down.
Another type of white filling material, glass ionomer cements bond to the tooth's surface to provide a tight seal between the tooth and surrounding oral environment. Besides offering a natural-looking restoration, glass ionomer cements slowly release fluoride to strengthen and help protect the involved tooth from future decay. Since they are not as durable or wear-resistant as other filling materials, glass ionomers are most frequently used to treat baby teeth, cavities near the gumline, and in temporary fillings.
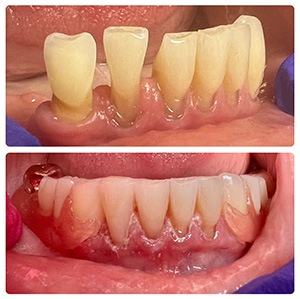
Ceramic fillings, inlays, and onlays are fabricated from the highest quality of dental porcelain and ceramics. As the most stain and wear-resistant option in tooth-colored fillings, these restorations offer durable, attractive, and long-lasting results. While "direct" fillings such as dental amalgam and composite fillings get placed immediately after the tooth is prepared, "indirect" fillings such as inlays or onlays get fabricated outside of the mouth before insertion and cementation or bonding.
Far less common these days and more expensive than any of the other materials, gold fillings remain excellent restorations. With excellent physical and chemical properties, gold fillings are strong, long-lasting, kind to the surrounding tissues, and remain stable over time.

Once our office has a chance to assess your smile, we'll advise you of our findings and outline a comprehensive treatment plan to help ensure your smile is healthy and functions at its best. If any tooth decay is detected, we'll schedule appointments to treat those cavities and place the fillings or restorations that are needed.
At the office of Magnolia Dental, patient care and comfort are our top priorities. While treating cavities and placing fillings are among the most routine procedures in dentistry, our office understands you have questions and concerns and will keep you well informed every step of the way.
Treating a cavity involves the precise and gentle removal of decayed and damaged tooth structure and any preparation of the remaining tooth structure needed to secure your new filling. Although every patient and every smile is different, you can expect your visit to take about an hour.
In most cases, this visit is performed under local anesthesia. As the work gets performed, your tooth is completely numb, and you should not feel any discomfort. A dental drill, dental laser, or air abrasion technology can be used to remove decay. Once the cavity gets excavated, and healthy tooth structure remains, it's time to place the filling. The type of dental filling material being used determines the manner of placement. Composite fillings, glass ionomer cements, and amalgam fillings are typically placed right away. However, in the case of an extensive cavity, a tiny palliative dressing and a temporary filling may be placed. Whatever type of filling is used, our office will check the fit, do any necessary polishing, and meticulously adjust the bite to ensure your optimal comfort and function.
For patients who are anxious about dental work, you can rest assured the office of Magnolia Dental is mindful of your needs. As skilled and experienced providers of care, we pride ourselves on providing gentle dentistry and do all we can to make your visit comfortable and stress-free. While we perform dental procedures under local anesthesia, we're also happy to discuss options in dental sedation.

At the office of Magnolia Dental, our goal is to help our patients enjoy optimal oral health and to keep them well informed every step of the way.
Immediately after the placement of a new filling, it's essential to keep the following in mind:
Until the anesthesia wears off
Immediately following your dental visit, you may experience a period of lingering numbness. Normal sensation typically returns within an hour or two. However, until the anesthetic has completely worn off, it's essential to protect yourself from unintentionally biting or injuring your lips, cheeks, gums, or tongue. Be mindful of chewing, drinking hot beverages, or smoking.
Now that your tooth has been restored and rebuilt, it may feel slightly different
While we take the utmost care to polish your new filling and make sure the bite is correct, on rare occasions, a patient may feel additional minor smoothing or further bite adjustment is required.
You may experience short-term sensitivity
It's perfectly normal for a tooth to feel a little sensitive following the placement of a filling. You may experience a twinge when eating cold or hot foods and beverages. This sensitivity should subside by itself within a few days. If your sensitivity worsens, you experience ongoing pain or develop any other symptoms; please contact our office.
Caring for your new restoration
Our office uses the latest generations of strong and durable filling materials. With proper oral hygiene and routine care, your new filling should last for many years to come. However, in cases of extensive tooth decay or injury to the underlying tooth, even the best restoration may need to be replaced, or further dental work may be needed down the road.
We're passionate about what we do and dedicated to providing the highest quality of care. If you have any additional questions or concerns, feel free to contact our office.
If the pleasure of eating a delicious bowl of ice cream or sipping a soothing cup of tea gets overshadowed by dental pain that makes you wince; it's time to contact our office. As skilled providers of care, we'll determine what's causing your discomfort and perform the treatment required to alleviate your symptoms and get you back on the road to oral health.
Cavities develop because of an infectious process that causes progressive damage to tooth structure. Despite starting as a pinpoint defect on the outermost enamel layer of your tooth, untreated dental decay progressively compromises more and more healthy tooth structure as it works its way to the inner layers of your tooth.
Yes, you can still develop tooth decay on other surfaces of the tooth, around the margins of an old filling, or in fewer instances, recurrent decay underneath it. For this reason, it's essential to maintain excellent oral hygiene, a diet low in sugary beverages and sweets, and be sure to visit our office for routine checkups and care. While tooth decay is second only to the common cold in frequency, it's almost entirely preventable.
We value the time and comfort of our patients. If cavities are located on adjacent teeth, or in the same section of your smile, it may be possible to treat more than one tooth during your visit. However, how much is done each visit depends on several factors. We keep our patients well informed and tailor every treatment plan and visit to address their unique needs.
Addressing concerns on the presence of elemental mercury in silver fillings, the American Dental Association (ADA), The Center for Disease Control and Prevention (CDC), the FDA, and the World Health Organization have all stated that amalgam restorations do not pose a risk to health. However, individuals with allergies or sensitivities to the metals in dental amalgam are advised to pursue other restorative options.
Dental fillings are performed under local anesthesia to help ensure your comfort throughout the entire procedure. The involved tooth remains completely numb for the extent of your visit. Within one or two hours after the procedure is completed, the local anesthetic will gradually wear off, and normal sensations return.
A tooth-colored composite filling is fully hardened and set by the end of your visit. However, we may advise you to wait a couple of hours until the local anesthesia has completely worn off. This advice is to help ensure you don't accidentally bite your lip, cheek, or tongue while still numb.
The lifetime of a dental filling varies depending on the type of material used. While popular dental materials can last a decade or more with proper care, they can degrade over time, wear down, or even break. When this happens, you may experience some tooth sensitivity, a jagged edge, or a loose or dislodged piece of filling material. Whatever the case may be, it's essential to get the filling replaced before the tooth sustains further damage or other consequences arise. Beyond taking good care of your smile to help ensure the longevity of your fillings, our office regularly checks the status of your existing fillings as part of a routine checkup exam.
Dental fillings are an essential investment that serves to preserve and protect the health of your smile. With that said, how much a filling costs depends on the number of surfaces of the tooth involved and the filling material that is used. Amalgam restorations are the most economical. While tooth-colored composite fillings have a slightly higher cost, they offer the added benefits of being metal-free and much more aesthetically pleasing. Ceramic fillings, inlays, and onlays are more expensive than the preceding options but provide outstanding, long-lasting, and natural-looking results.
Dental insurances typically cover the cost of dental fillings. While we work with you to maximize your insurance benefits, there may still be an out-of-pocket expense. At the office of Magnolia Dental, we strive to help you begin care without any additional financial stress or delay.
