
As everyone knows, the appearance and health of your smile can affect your self-image, confidence, and overall well-being.
Today, thanks to advances in dentistry, it’s possible to transform even the most challenging smiles into ones that look beautiful, vibrant, and bright. Whether you have a minor flaw in a single tooth or multiple teeth with significant imperfections, your dentist offers solutions to create aesthetically pleasing, healthy, and long-lasting results.

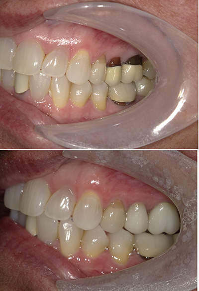
The terms dental crowns and caps are synonymous. If dental decay, cracked fillings, root canals, clenching, or grinding the teeth have caused extensive damage to the underlying tooth structure, a dental filling may not be a sufficient restoration. The only way to completely restore this tooth's cosmetic appearance and function is often full coverage with a dental crown. The good news is that a completed dental crown looks and feels like a natural tooth.
In addition to restoring a single natural tooth, crowns can be used in other situations, including being the supporting ends of dental bridges, covering dental implants, or as coverage for a cracked tooth to prevent further breakdown. A crown may also be indicated when a discolored or stained tooth needs to be restored to its natural appearance. Crowns can be made of either porcelain baked onto a metal substrate, all-porcelain, or many of the new ceramic materials that have been developed.
Whatever the reason for a crown, the purpose is the same—to rebuild the look, feel, and function of the tooth while protecting any natural tooth structure that remains.
If you have a tooth that is broken, cracked, chipped, discolored, misshapen, or weakened by advanced tooth decay, there’s no need to despair. Our office can restore your tooth with a crown that looks naturally beautiful and blends seamlessly with your smile.
With the range of dental materials available today, dental crowns can restore a tooth with the most lifelike, naturally beautiful, and long-lasting results. New generations of ceramic materials not only interact with light in much the same way as natural teeth, but they also offer excellent strength and durability. Our office will consider the tooth’s location, function, and aesthetic requirements when recommending the best options to restore it. You can rely on us to recommend a restoration that suits your smile and fulfills your expectation of care.
